Há um tempo atrás Medina solicitou algumas investigações, as missões foram dadas:
Hemograma, Radiografia e doppler
Findada as missões o então guerreiro retorna a base do mentor Medina para saber as reações de suas investigações.
Os resultados eram ótimos.
O Hemograma mostrava normalidade, o doppler constatou que não há mais trombose alguma e a radiografia falava por si
_______________________________________________________
Breve pausa no conto para mostrar-lhes os resultados.
Pois bem, iniciei o tratamento em abril, vejam com os proprios olhos.
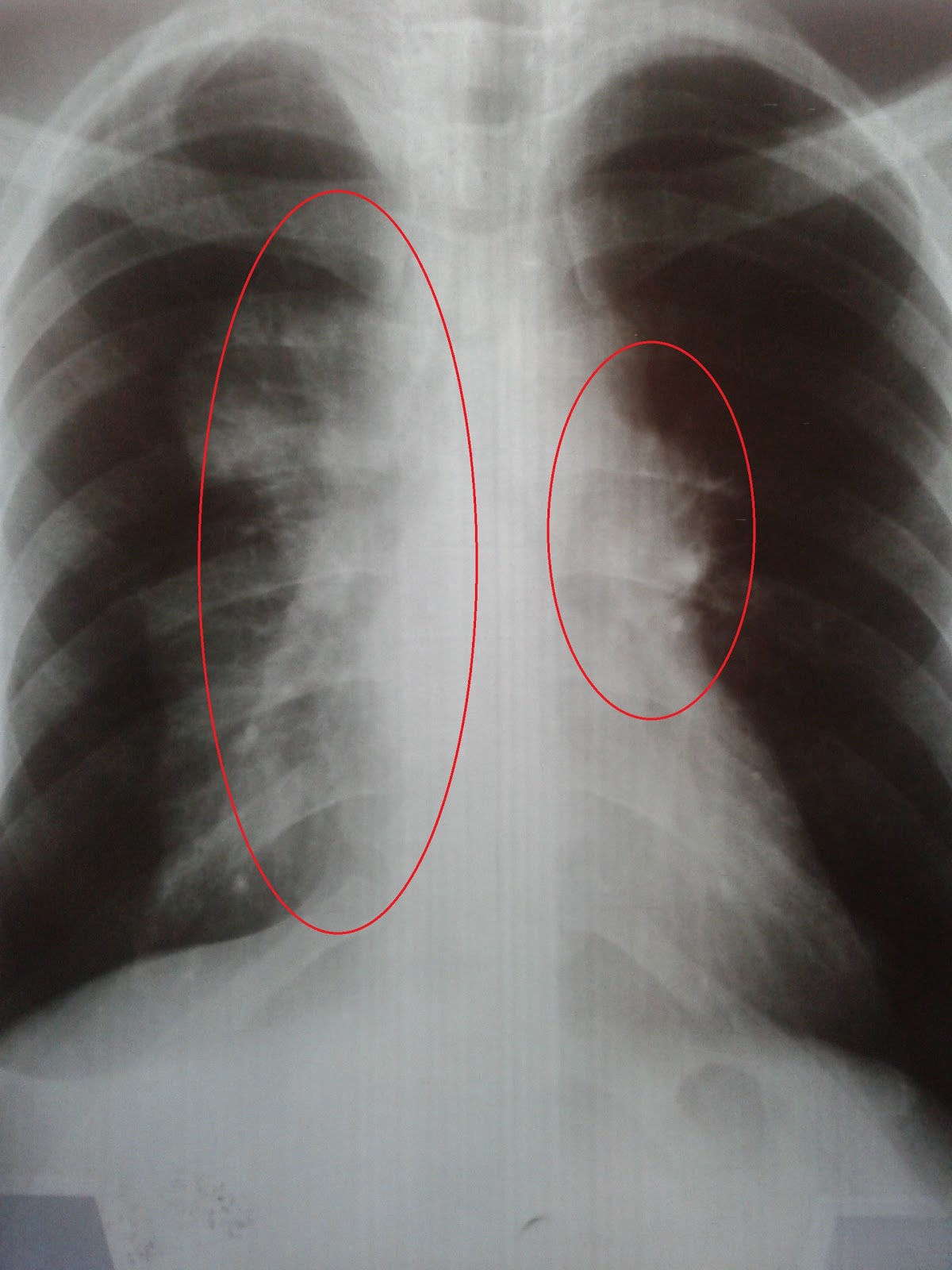
 Esta foi a primeira radiografia,  feita a pedido de um médico da Casa de Saude, de maneira rude mas necessária ele questionou na época "esse é o seu pulmão? Acho que você gosta pouco de você hein! "
Bom, eu não fumo, eu não tinha o diagnostico, não sabia de nada do que estava acontecendo, apenas estava com tosse, e demorei um bocado pra ir ao médico. Achei um pouco exagerado. Mas enfim as regiões brancas são as areas afetadas pelos tumores.
Só depois de algumas semanas havia entendido o motivo e voltei para agradecer este médico. Graças a ele comecei a correr atras para saber o que eu tinha.
Esta é a ultima radiografia, feita no dia 23 de outubro, a área circundada em amarelo é só pra mostrar que o cateter aparece no raio-x. ai é onde esta passando o cano do Jarvs. Não existe mais as áreas brancas, o pulmão esta excelente , nem sinal dos tumores.
Voltemos a nossa programação normal:
_________________________________________________
Após conversarem sobre os causos, Medina vira-se e diz:
Você esta bem, o Jarvs o ajudou bastante nessas batalhas, possivelmente não devemos utiliza-lo mais e caso necessite nós o implantaremos novamente.
Foi decretado então que Jarvs deixará o grupo e esperamos que seja para sempre. Ele foi um excelente aliado na batalha. E deverá se aposentar.
________________________________________________
Pois bem retirarei o Porth, passo no dia 27 com o vascular.
Mais boas noticias? Claro!!
Não há mais trombose certo, junto com a noticia então vem um "plus". Não tomarei mais "A Delicia", o anticoagulante.
Meu médico parece não querer mais me medicar com esses remedios fortes (quimioterapia, radioterapia , etc) Essa semana ele vai para o congresso sobre a doença e no retorno verá se será realmente necessário fazer o complemento com a radio.
É isso galera, obrigado pelo apoio! Estamos vencendo rapidamente.
Fiquem com Deus!


 
